介入治疗血管疾病显神效
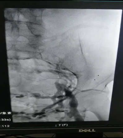
患者辛某,两月前左腿肿胀来我院就诊,B超检查发现左下肢深静脉血栓,经下腔静脉滤器植入术标准抗凝治疗后,患肢肿胀明显改善,两月后复查超声,左下肢深静脉内血栓基本消失,但左腿肿胀仍时轻时重。近期又在我院住院治疗,经左下肢顺行造影发现左侧髂静脉完全闭塞。经由交大一附院刘亚民教授会诊后,诊断为左侧髂静脉压迫综合症。
6月30日晚8时,在刘亚民教授的精心指导下,介入科李渊博主治医师与科室医护人员为该患者实施了血管开通、球囊扩张成形及支架置入术,术后造影,左侧髂静脉通畅,患者安全返回病房。
血管开通、球囊扩张成形及支架置入术在我院是第一例,也宝鸡地区县级医院开展的第一例手术,原来只能在三甲医院开展的手术,现在在家门口就能够实施,为广大患者提供了便利、节省了费用,也标志着我院在血管疾病诊治方面又迈出了新的一步。




